Svet-Stranek.cz
Vše pro Vaše zvířata
MVDr.Lýdia Čačková

Fotky:Vše pro Vaše zvířata

Fotky

Vývoj embrya u jedné klisny
Čip ve spěnkovém kloubu na pánevní končetině
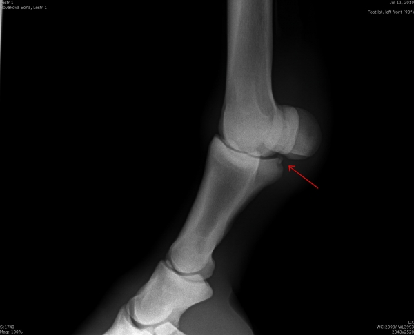
Ankylóza spěnkovýho kloubu
rentgenologické vyšetření
ohebové zkoušky
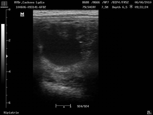
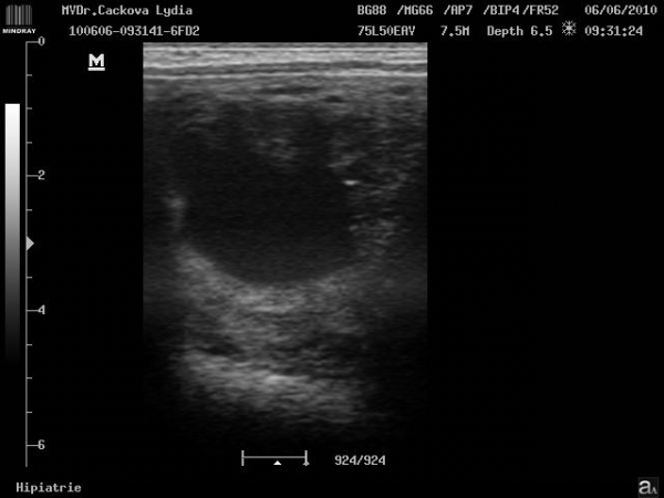
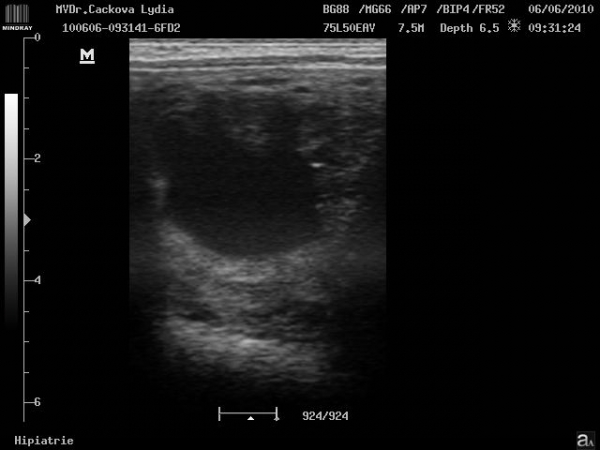
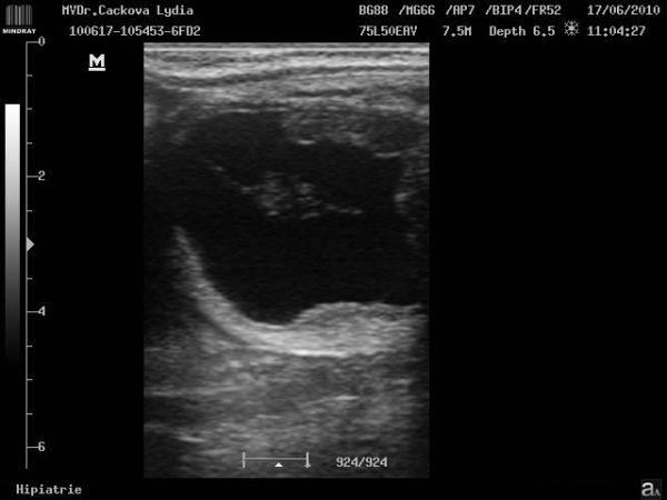
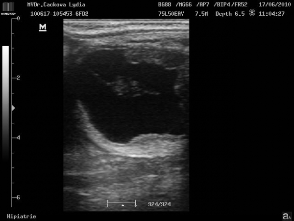
ultrasonografické vyšetření klisny
Záchrana podchlazeného koně
Sarkoid u bělouše
Hojení rány u hřebce - byl roztřený vrchní břišní sval
Výhřez rekta u valáška
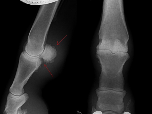
Těžká artróza ve spěnkovém kloubu
Chronicky schvácené kopyto
Dermatofilóza - tzv. dešťová vyrážka
Rána na levé zadní spěnce - v době ošetření už 7 dní stará, hypergranulující. Foto z 1 dne po ošetření, 5. dne, 2. týdnů a 6 týdnů.
Velká tržná rána na víčku - koník si vytrh poslední steh, takže se neudržela linie okraje víčka, ale koník je po zhojení bez potíží
Volně pohyblivý lipom v podkoží klisny haflinga
Podotrochleóza
První karpální kůstka - kost, která se vyskytuje u malého % koní
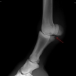
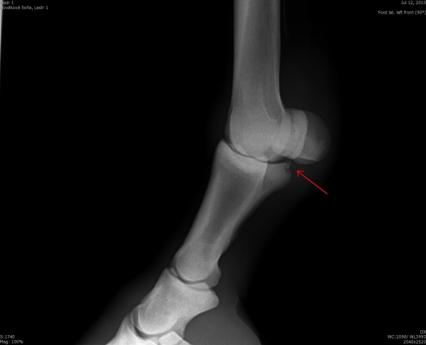
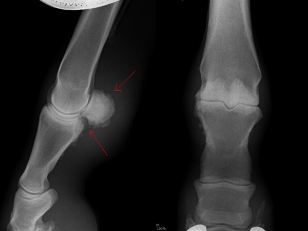
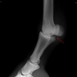
Fragment na spěnkové kosti
Odřeniny na plecích hřebce
Konečné stádium měsíčny slepoty
Preovulační folikul
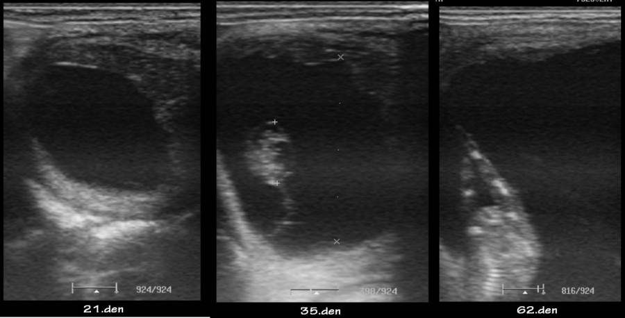
embryo kolem 21.dne
Embryo 31. den
velbloudice.... nikdy nevíte jaký pacient čeká za rohem
Zákožka - původce svrabu u koně - fríz dovezený z Nizozemska
Oliver- kocourek, ktery osyrel tesne po narozeni (mamicka uhynula na endotoxemii po komplikovanem porodu) a majitele ho takhle krasne vychovali
Valášek Juráš - po enukleaci (vyjmutí) oka
Jalovice s lipomem - nezhoubným nádorem vzniklým po traumatu
Hluboká rána na hrudní končetině Šestej den po sešití - otok protrhal vrchní vrstvu stehů, spodní dvě to vydrželi. Po dalším týdnu a po měsíci léčby. Kůň zůstal bez následků.
Sam - kladrubský hřebec s laminitídou a výhřezem kopytní škáry, teď krásně chodící a to hlavně díky velké pomoci podkováře, p.Schmidta